症例集
虫歯治療
なるべく歯を削らない。

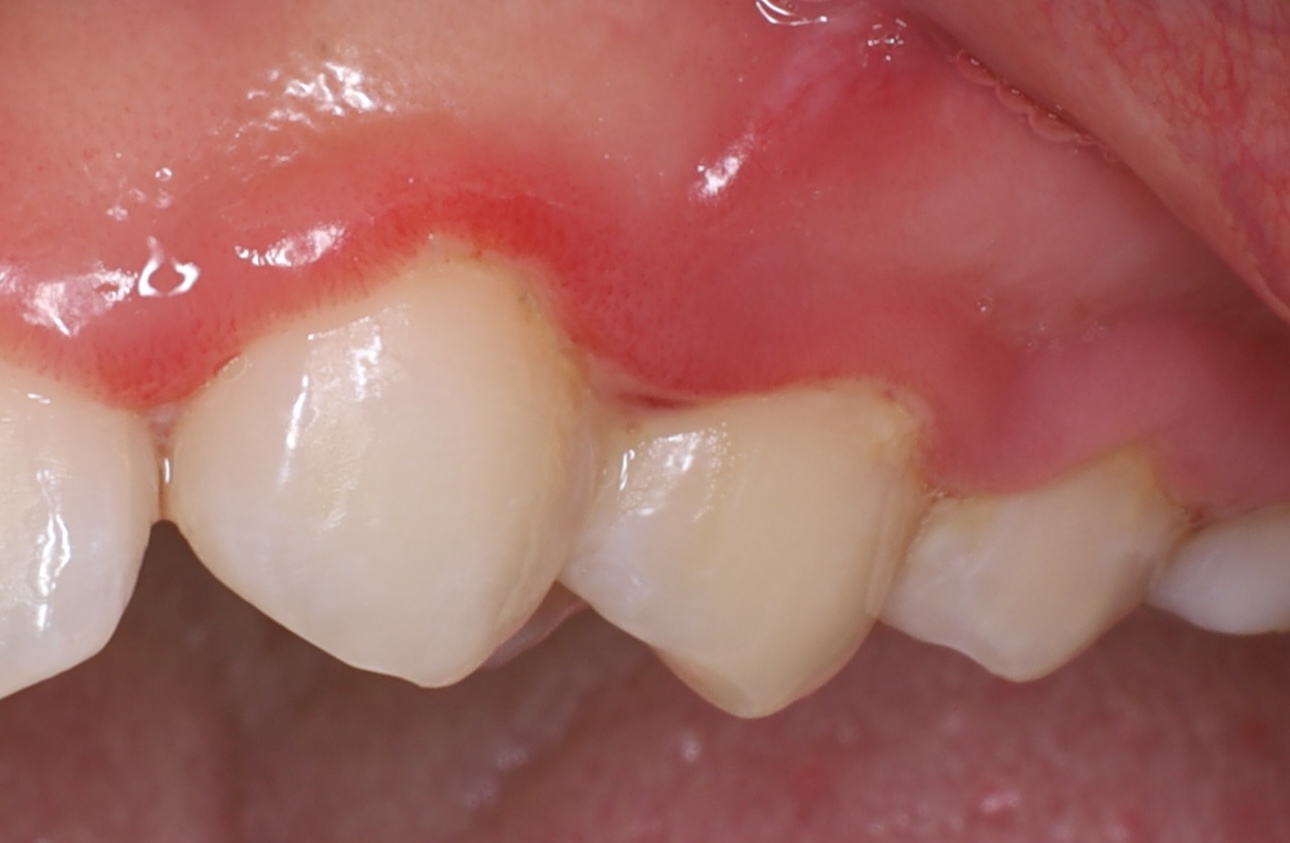
症例集
歯ぐきの治療
なるべく歯を残す治療

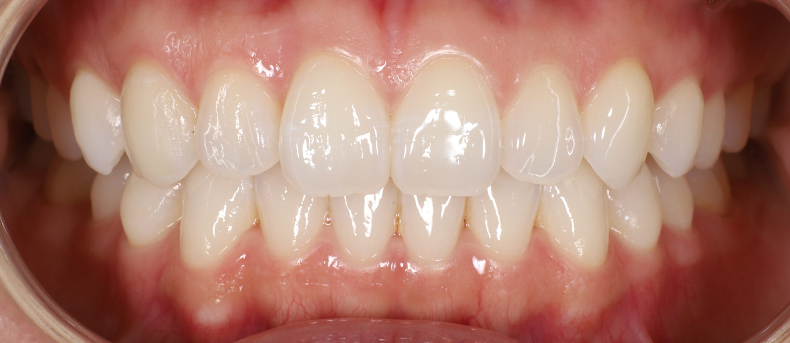
症例集
矯正治療
見た目も噛み合わせも整える治療

症例集
インプラント治療
無くした歯を取り戻す治療

芥川歯科矯正歯科の治療技術
当院では、患者さんの負担を軽減するために最新の技術を取り入れて治療を行っています。
丁寧なカウンセリング
患者さんとしっかりとコミュニケーションを取りながら治療計画を立てます。
痛みを最小限に抑えた治療
最新の設備を使用し、痛みを感じにくい治療を行います。
治療の進捗管理
口腔内写真やレントゲンで治療の進捗を確認しながら進めます。
高度な専門知識を持った歯科医師
専門知識を持った当院の歯科医師が患者さんのお口の健康を守ります。