Concept
”なるべく削らない”
むし歯の部分だけを丁寧に取り除き、歯をできるだけ残します。
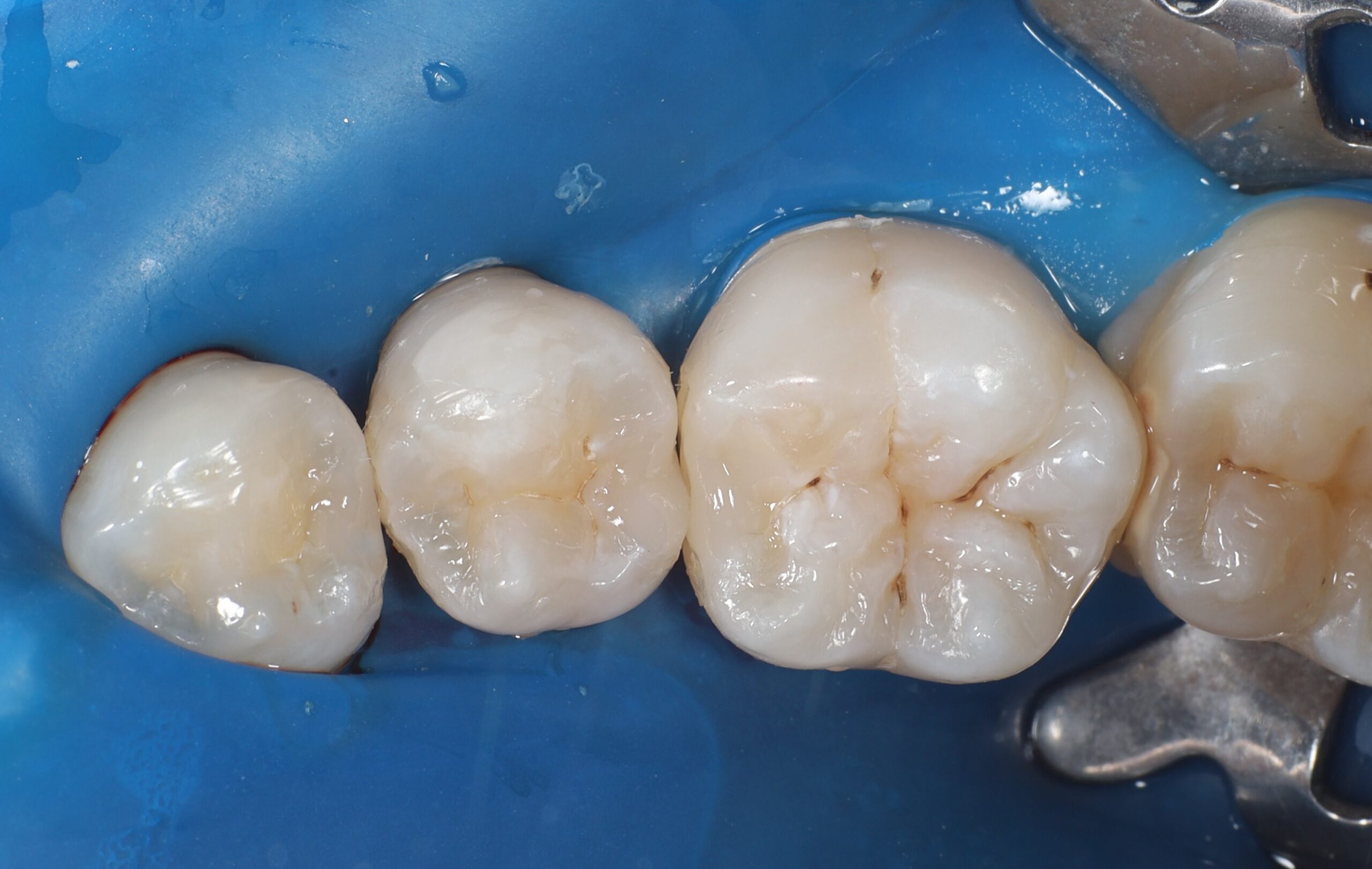
ラバーダムを用いることで、精密で長持ちする治療を心がけています。
ラバーダムを用いることで、精密で長持ちする治療を心がけています。


”原因”は?
むし歯の原因は歯磨きの仕方だけではありません。
歯にかかる力のバランス、以前の治療が影響していることもあります。
むし歯の原因をしっかり診断します。
歯にかかる力のバランス、以前の治療が影響していることもあります。
むし歯の原因をしっかり診断します。


白く治す
治療した場所がわからないくらい綺麗に治す。
治療の繰り返しを終わらせるため確かな技術で治します。
丁寧に治療をすることで痛みが少ないです。
治療の繰り返しを終わらせるため確かな技術で治します。
丁寧に治療をすることで痛みが少ないです。


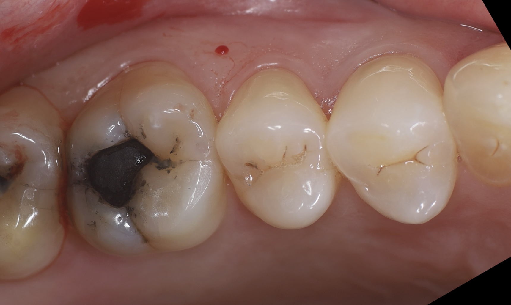
虫歯治療の費用について
当院では、患者さまのご希望やお口の状態に合わせて、保険診療・自由診療の両方をご提案しています。
| 内容 | 保険診療 | 自由診療(おすすめ) |
|---|---|---|
| 小さな虫歯の修復 | レジン充填(保険適用) | ダイレクトボンディング 30,000円(税別) |
| 銀歯のやり替え・白い詰め物 | 銀歯、CADIn(保険適用) | IDS法によるセラミックインレー 60,000円(税別) |
| 被せ物(クラウン) | 金属冠、CADCr(保険適用) | IDS法によるセラミッククラウン 100,000円(税別) |
※ 自由診療は、見た目の自然さ・適合性・むし歯の再発リスク軽減に優れています。
治療にともなう注意点・リスクについて
当院では、できるだけ安心して治療を受けていただけるよう、十分な説明と丁寧な処置を心がけていますが、以下のようなリスクがまれに考えられます。
- 治療直後、一時的にしみたり、知覚過敏の症状が出ることがあります
- 強い衝撃や噛み合わせのクセによって、詰め物・被せ物が欠けたり取れることがあります
- むし歯の進行が大きい場合は、追加の治療(神経の処置など)が必要になることがあります
ご不安な点は、事前にしっかりご相談いただけますのでご安心ください。