Concept
”丁寧に、妥協しない”
歯を残す最終手段にもなり得る根管治療。
当院では皆様の歯の状況を正確に見極め、残す価値があるかどうかを誠実にお伝えし、
無理のない治療方針をご提案します。
当院では皆様の歯の状況を正確に見極め、残す価値があるかどうかを誠実にお伝えし、
無理のない治療方針をご提案します。

”根管治療”とは?
むし歯が根っこの中まで進んだ状態に対して行う治療です。
根の中には神経や血管などがあり、その部分の感染を除去する治療が根管治療です。
根の中には神経や血管などがあり、その部分の感染を除去する治療が根管治療です。


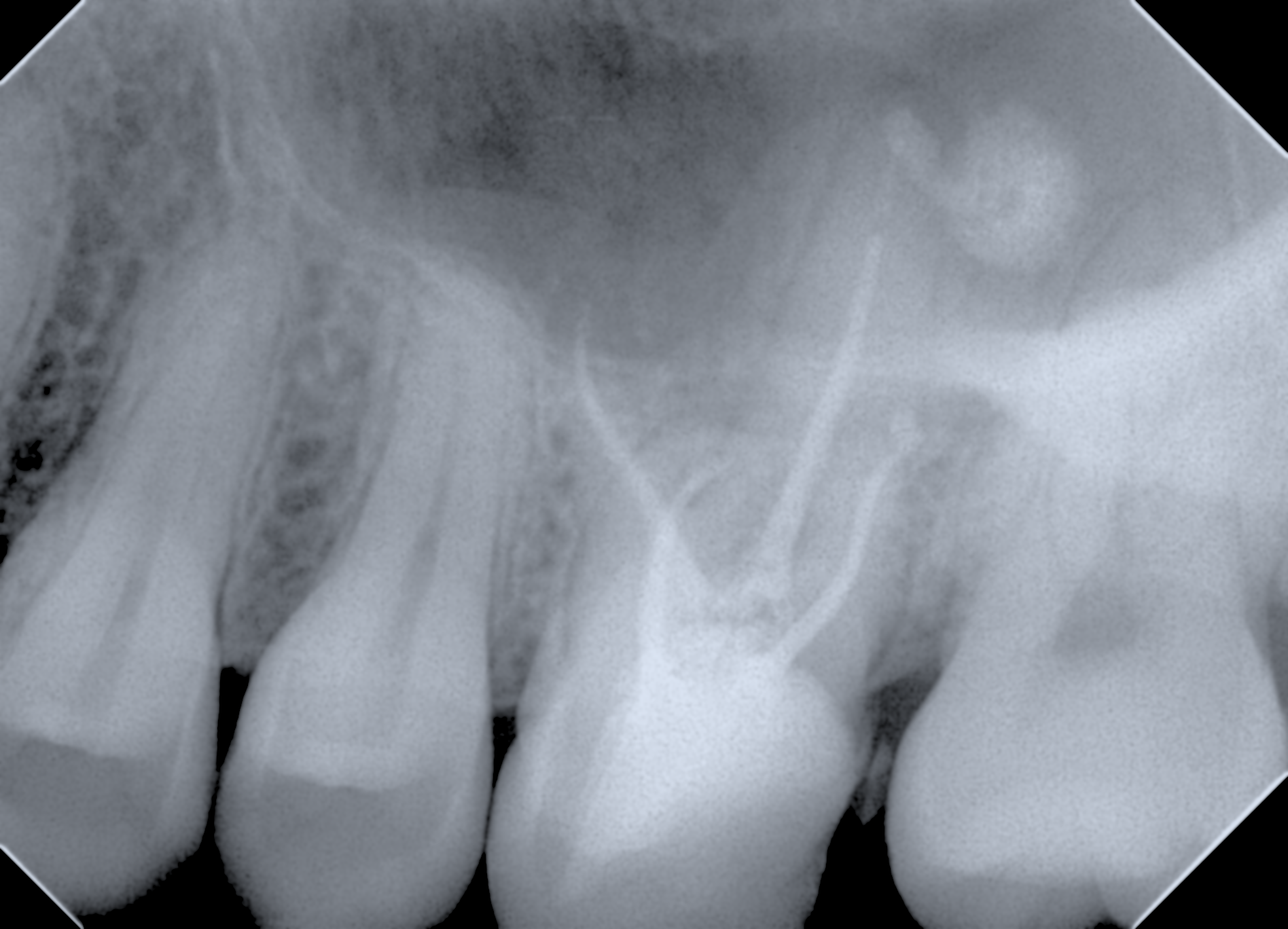
根っこは複雑です
歯の根っこは曲がっていたり、中で繋がっていたりさまざまな形をしています。
CTを撮影し、根管の形がどうなっているのかを精査し、顕微鏡(マイクロスコープ)を用いて治療を行なっていきます。(CTは5月末導入。マイクロスコープは7月末導入いたします。)
CTを撮影し、根管の形がどうなっているのかを精査し、顕微鏡(マイクロスコープ)を用いて治療を行なっていきます。(CTは5月末導入。マイクロスコープは7月末導入いたします。)


治らない時は?
根管内から根管外にまで感染が及んでいる場合、通常の根管治療では治らない場合があります。
そのような場合歯根端切除や再植、歯の移植といった、外科手術を行う場合があります。
そのような場合歯根端切除や再植、歯の移植といった、外科手術を行う場合があります。

根管治療の費用について
当院では、患者さまのご希望やお口の状態に合わせて、保険診療・自由診療の両方をご提案しています。
| 内容 | 保険診療 | 自由診療(おすすめ) |
|---|---|---|
| CT撮影 | (保険適用) | ー |
| 前歯、小臼歯部の根管治療 | (保険適用) | 160,000円(税別)(被せ物の料金を含む) |
| 大臼歯部の根管治療(クラウン) | (保険適用) | 200,000円 (税別)(被せ物の料金を含む) |
| 歯根端切除術 | (保険適用) | ー |
※ 自由診療は、見た目の自然さ・適合性・むし歯の再発リスク軽減に優れています。
治療にともなう注意点・リスクについて
当院では、できるだけ安心して治療を受けていただけるよう、十分な説明と丁寧な処置を心がけていますが、以下のようなリスクがまれに考えられます。
- 治療直後、一時的に痛みが出ることがあります
- 歯の破折が認められた場合は根管治療の適応にはなりません
ご不安な点は、事前にしっかりご相談いただけますのでご安心ください。