Concept
審美歯科とは?
審美歯科とは、見た目の美しさだけでなく、かみ合わせや歯の機能とのバランスを大切にした治療です。
当院では、削る量を最小限に抑えつつ、自然な色・形・バランスを設計し、患者さん一人ひとりに合わせた審美補綴を提供しています。
当院では、削る量を最小限に抑えつつ、自然な色・形・バランスを設計し、患者さん一人ひとりに合わせた審美補綴を提供しています。

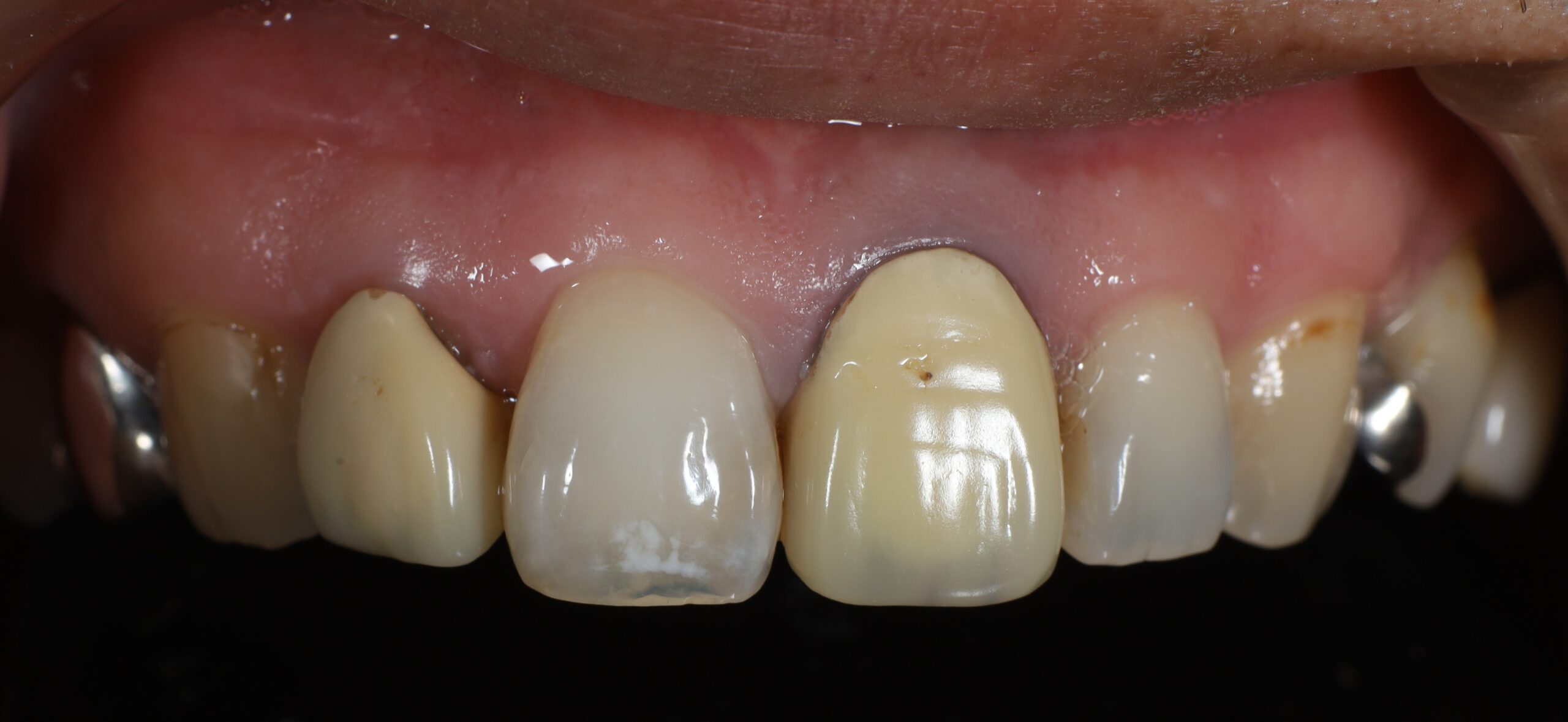
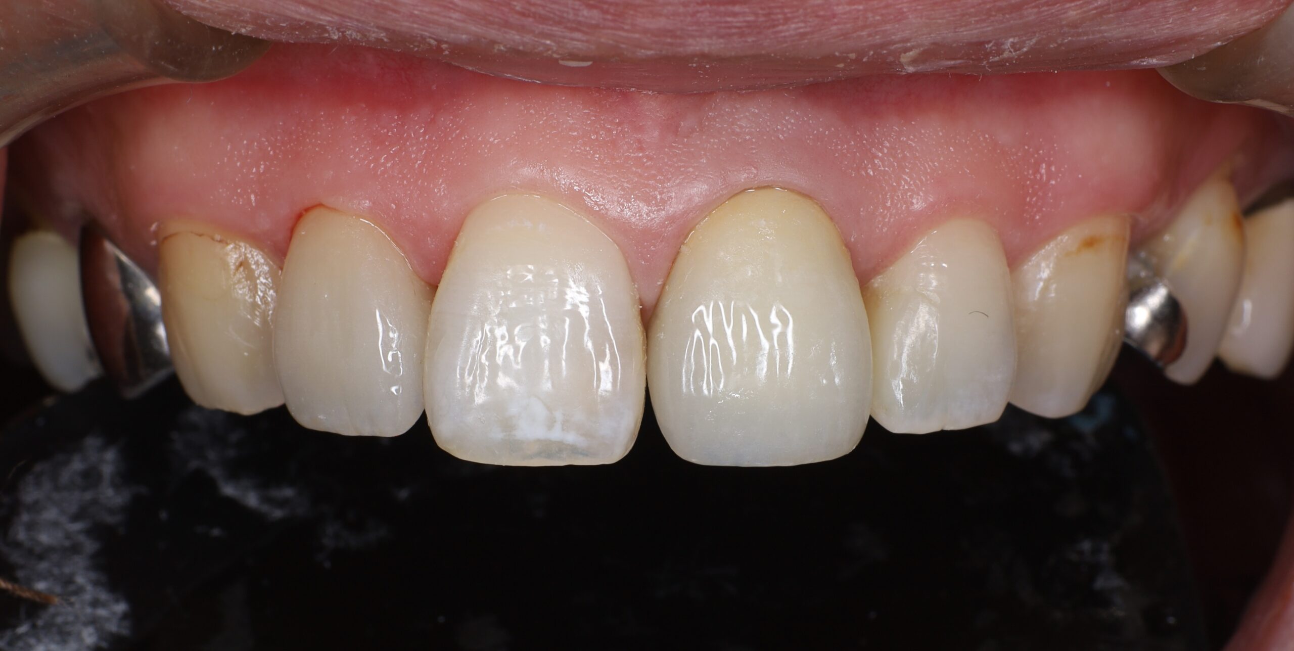
前歯の被せ物が古い

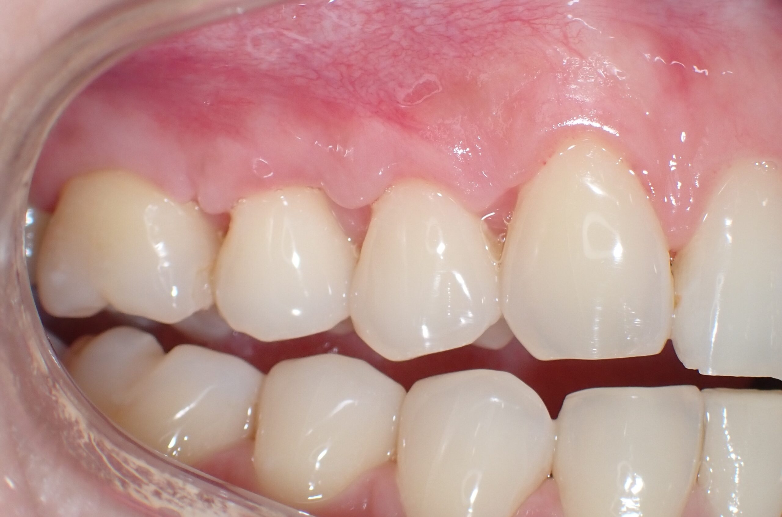
セラミックによる被せ物
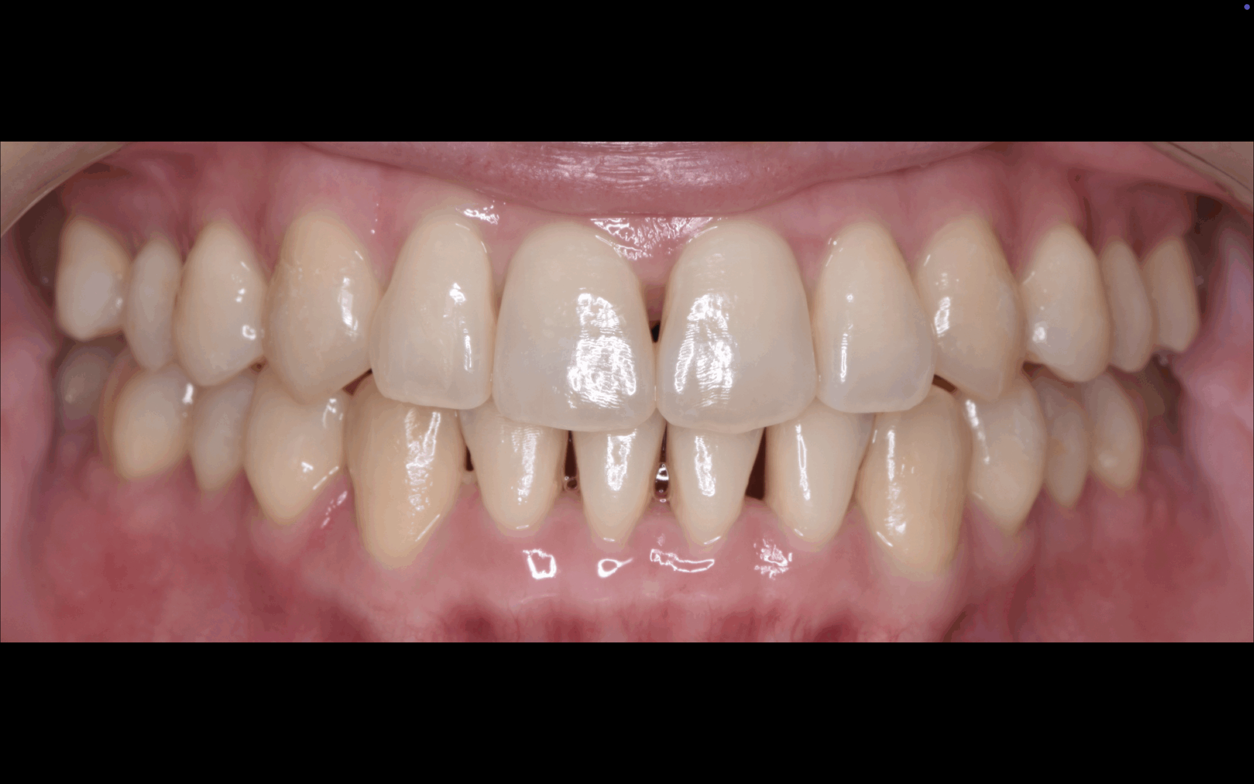
矯正治療後の審美治療
矯正治療は歯の形は変わりません。
また、歯列が整ったことでかえって目立つようになる**ブラックトライアングル(歯と歯の間の隙間)**など、矯正単独では解決できない審美的課題もあります。
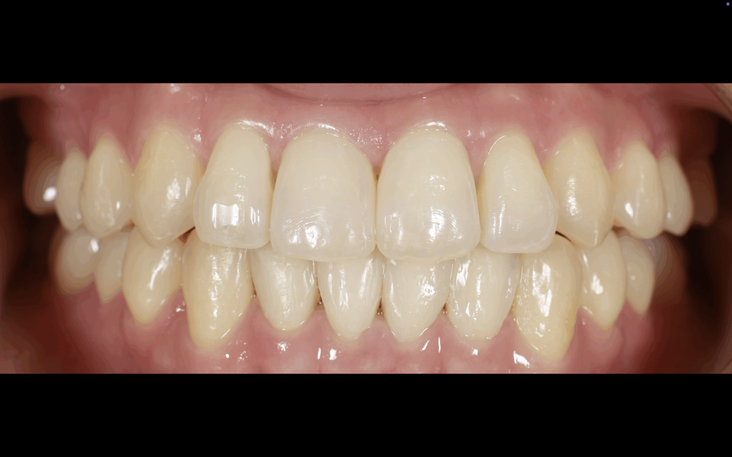
当院では、矯正治療後の審美的な問題を最初から考えた上で、治療の計画を立てます。
また、歯列が整ったことでかえって目立つようになる**ブラックトライアングル(歯と歯の間の隙間)**など、矯正単独では解決できない審美的課題もあります。
当院では、矯正治療後の審美的な問題を最初から考えた上で、治療の計画を立てます。

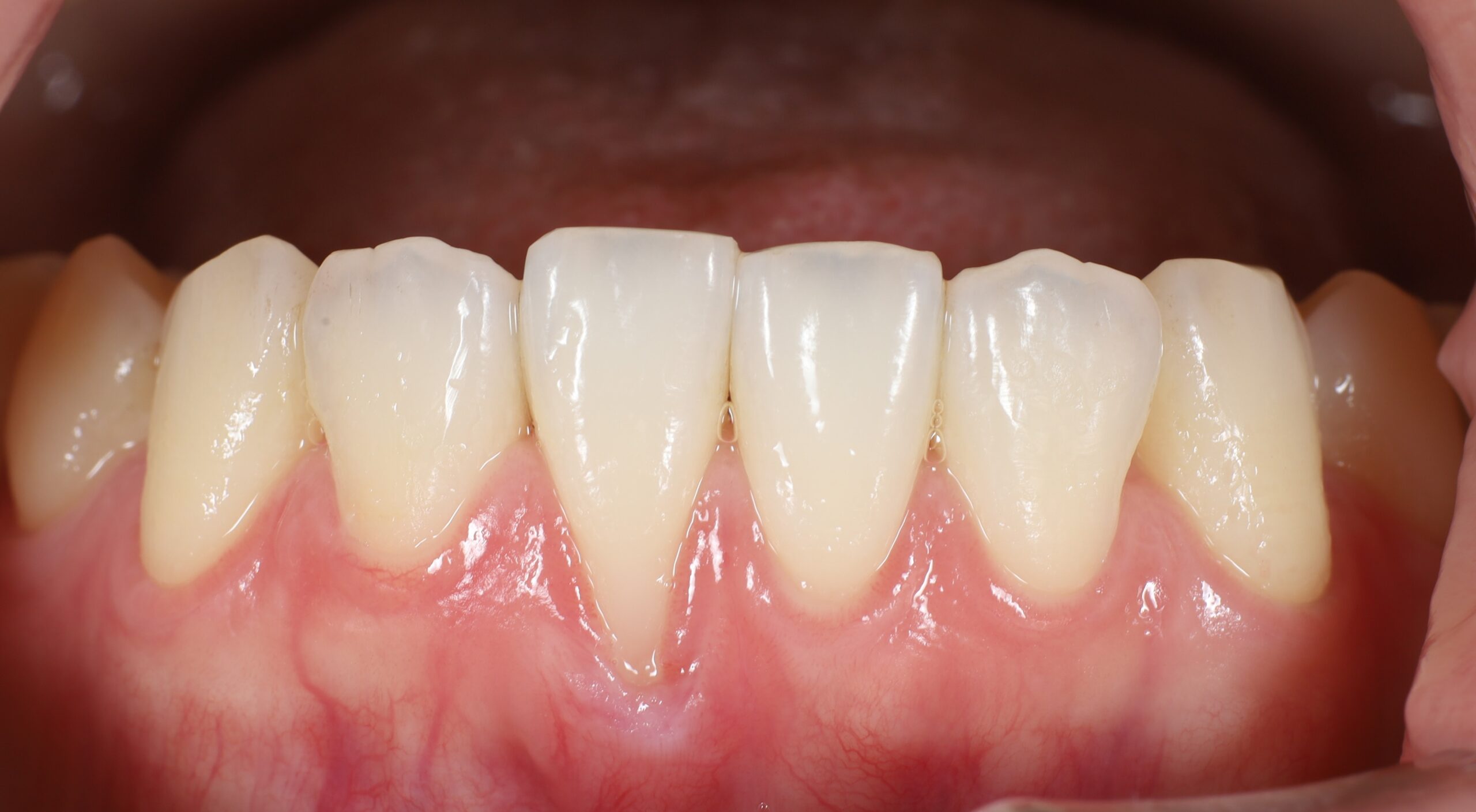
矯正治療後のブラックトライアングル

ブラックトライアングルの閉鎖
歯だけではなく歯茎も
矯正治療の偶発症である歯肉退縮。
矯正治療を行う際に歯肉退縮を予防する手術を行うことができます。
また、すでに起きている歯肉退縮に対しても対応できますので、まずは相談してください。
矯正治療を行う際に歯肉退縮を予防する手術を行うことができます。
また、すでに起きている歯肉退縮に対しても対応できますので、まずは相談してください。


審美治療の費用について
| 治療内容 | 費用(税別) | 備考 |
|---|---|---|
| セラミックインレー | ¥60,000 | 自由診療 |
| セラミッククラウン | ¥110,000 | 自由診療 |
| ラミネートベニア | ¥110,000 | 自由診療 |
| ダイレクトベニア | ¥30,000 | |
| ホームホワイトニング | ¥30,000 | トレー+薬剤込 |
| 治療内容 | 費用 | 備考 |
|---|---|---|
| O-PRO法 | ¥300,000 | 当院で矯正治療を行なった患者様に限ります。 |
| 根面被覆術 | ¥70,000 |
※ 自由診療は、見た目の自然さ・適合性・むし歯の再発リスク軽減に優れています。
よくあるご質問
Q. セラミックはどれくらいもちますか?
A. 正しくかみ合わせが整った状態であれば、10年以上使えることもあります。定期的なメンテナンスが重要です。
Q. 保険は使えますか?
A. 審美目的のセラミック治療は保険適用外です。
Q. ホワイトニングに痛みはありますか?
A. 一時的にしみることがありますが、通常は1日程度でおさまります。