佐世保市広田・早岐エリアでインプラント治療をお考えの方へ。
芥川歯科では、骨量が少ない方や難症例にも対応したインプラント治療を行っています。
また、精密な診断により、腫れや痛みを抑えた治療を心がけています。
Concept
”好きなものを食べられる”
歯を失った部分の顎の骨に人工歯根(インプラント)を埋め込み、その上に人工の歯を取りつける治療法です。
しっかり噛めるようになり、見た目も自然で、入れ歯のような違和感がありません。
「第二の永久歯」とも呼ばれ、近年多くの患者さんが選ばれる治療です。
しっかり噛めるようになり、見た目も自然で、入れ歯のような違和感がありません。
「第二の永久歯」とも呼ばれ、近年多くの患者さんが選ばれる治療です。

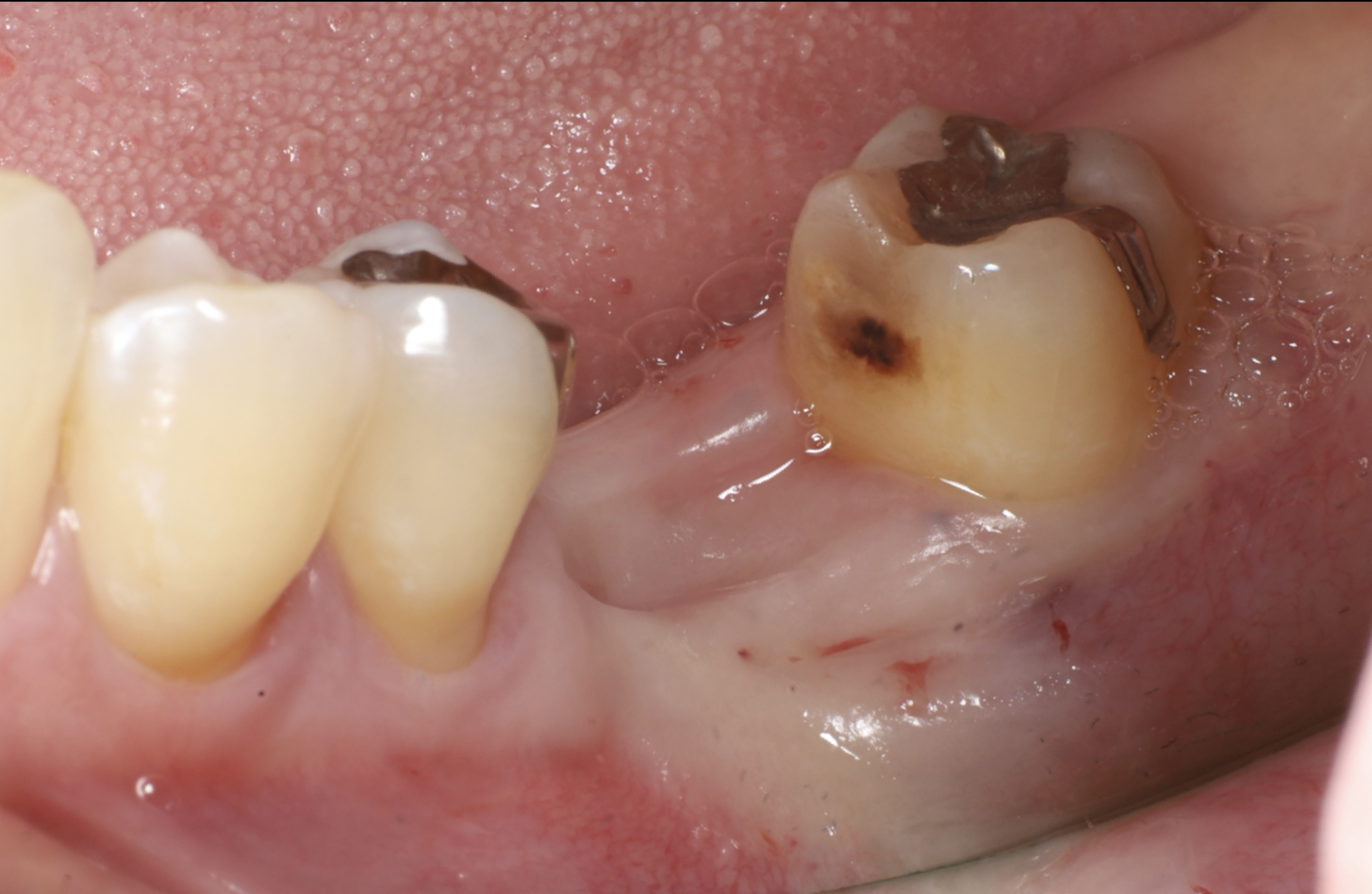
術前

術後
痛くないインプラント治療
痛みや不安に配慮した丁寧な手術
他院で断られた症例にも対応(骨がないと言われた方)
患者さんにとっての「最後の砦」になれるよう、誠実に診断・ご提案を行っています。
他院で断られた症例にも対応(骨がないと言われた方)
患者さんにとっての「最後の砦」になれるよう、誠実に診断・ご提案を行っています。


見た目も綺麗に
様々な歯の形、色に合わせてオーダーメイドで作ります。
最終的に入る歯のことをCT診断による正確な術前シミュレーションしています。骨の量や質に応じた的確な治療提案いたします。
最終的に入る歯のことをCT診断による正確な術前シミュレーションしています。骨の量や質に応じた的確な治療提案いたします。

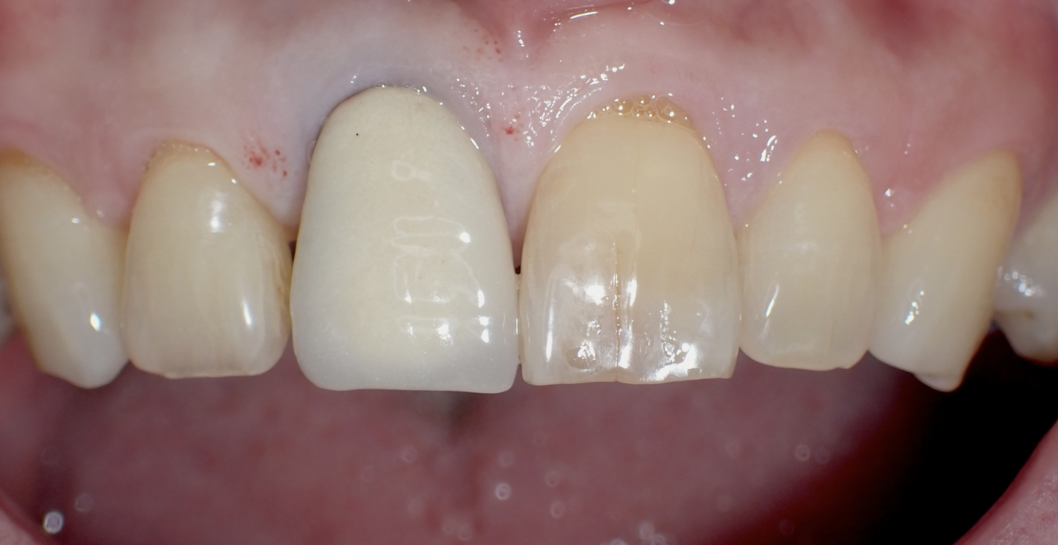
術前

術後
治療の流れ
上部構造(人工歯)の装着
噛み合わせや見た目にこだわった被せ物を装着します。
カウンセリング・診査
CT・口腔内写真・歯周病の確認などを行います。
治療計画の説明
骨の状態や全身の健康状態を確認し、安全に行えるかをご説明します。
インプラント手術
局所麻酔で、顎の骨に人工歯根を埋め込みます(約30〜60分)。
治癒期間
骨とインプラントがしっかり結合するまで2~4ヶ月ほど待ちます。
インプラント治療の費用について
| 内容 | 費用 | 備考 |
|---|---|---|
| インプラント埋入手術 | ¥260,000 | |
| 上部構造 | ¥110,000 | |
| 骨造成 | ¥150,000 | |
| サイナスリフト | ¥200,000 | |
| ガイド | ¥10,000 |
よくあるご質問
Q. 手術は痛くないですか?
A. 局所麻酔でほとんど痛みなく行えます。術後の腫れや痛みも抑えるよう管理します。
Q. 年齢制限はありますか?
A. 原則として骨の成長が終わった20歳前後から可能です。年齢上限はありませんが全身状態により判断します。
Q. 治療期間はどれくらい?
A. 手術から被せ物まで、約2〜6ヶ月が目安です。
Q. 骨がないとインプラントできない?
A. 当院では骨がないと断られた場合でも骨を増やしてインプラントを行うことが可能です。まずはご相談ください。治療にともなう注意点・リスクについて
ご不安な点は、事前にしっかりご相談いただけますのでご安心ください。
