Concept
”見た目と噛み合わせ”
「ただ歯を並べる」のではなく、
・噛めること
・顔に調和すること
・長く安定すること
この3つを大切にしています。
また、骨格・かみ合わせ・歯周状態などを総合的に診断したうえで、患者さまにとって最善の方法を一緒に考えていきます。
・噛めること
・顔に調和すること
・長く安定すること
この3つを大切にしています。
また、骨格・かみ合わせ・歯周状態などを総合的に診断したうえで、患者さまにとって最善の方法を一緒に考えていきます。
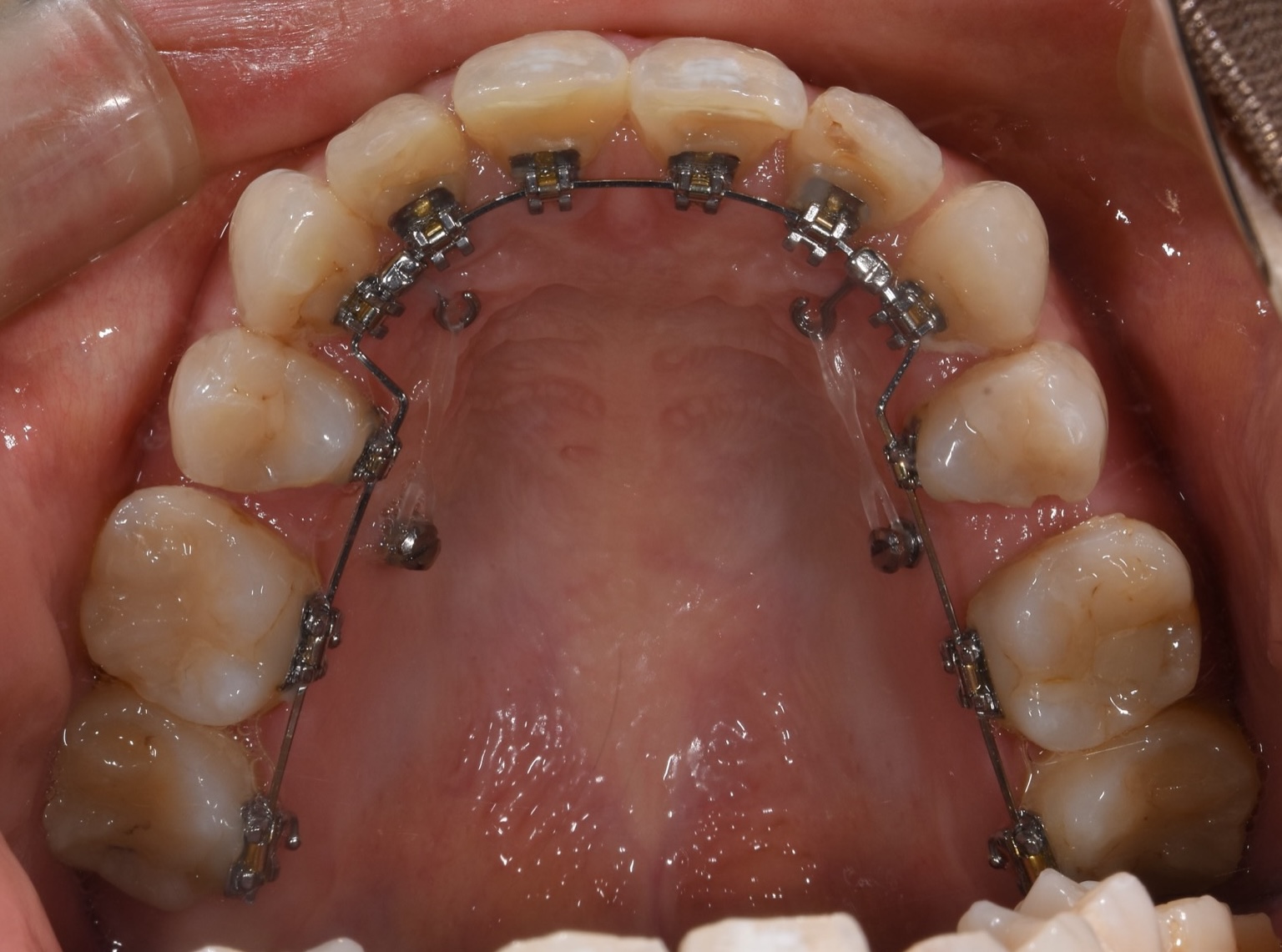
マウスピースによる矯正も
矯正治療中は目立たずにできたらとお考えの方も多いかと思います。
当院ではワイヤーによるやり方だけではなく、マウスピースによる矯正治療も行なっています。
当院ではワイヤーによるやり方だけではなく、マウスピースによる矯正治療も行なっています。
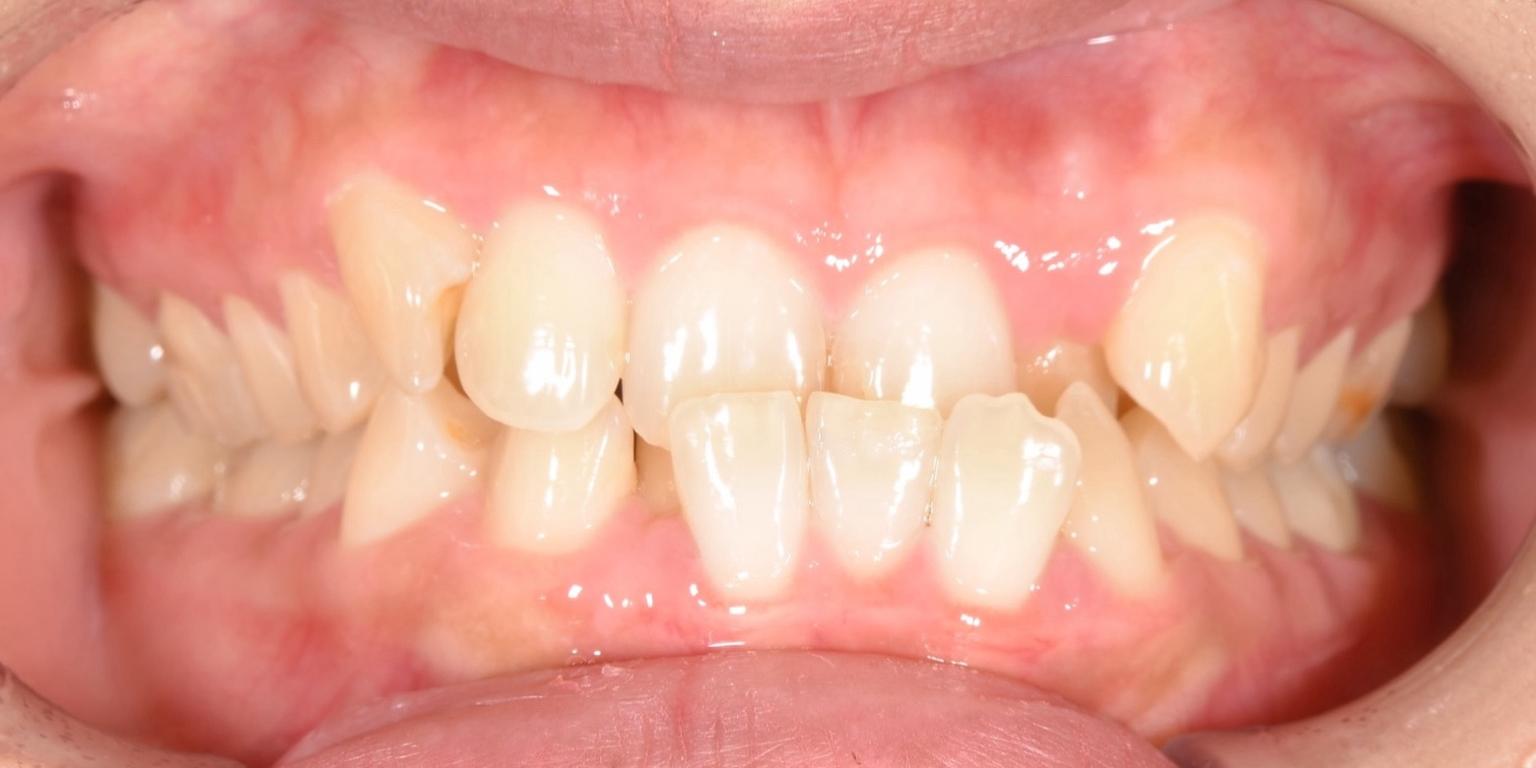
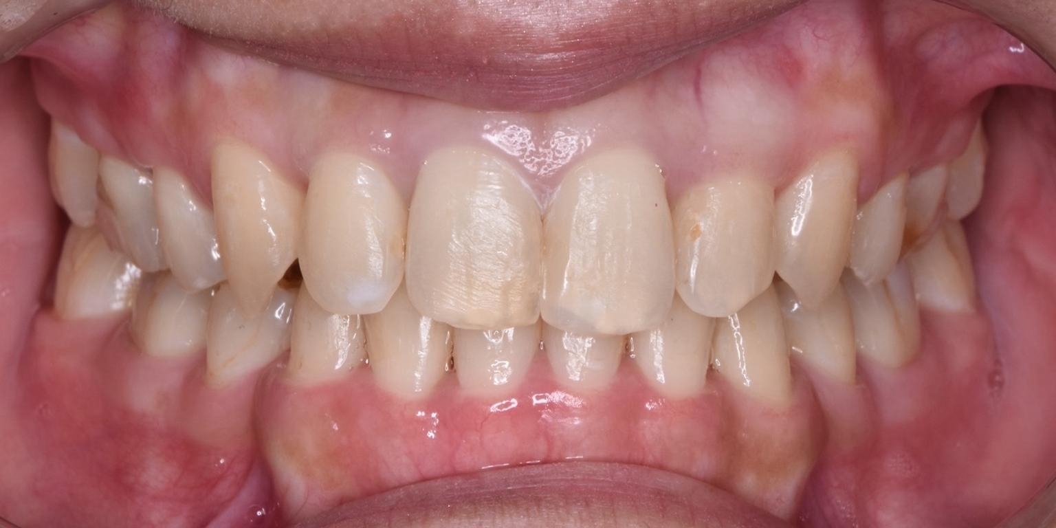
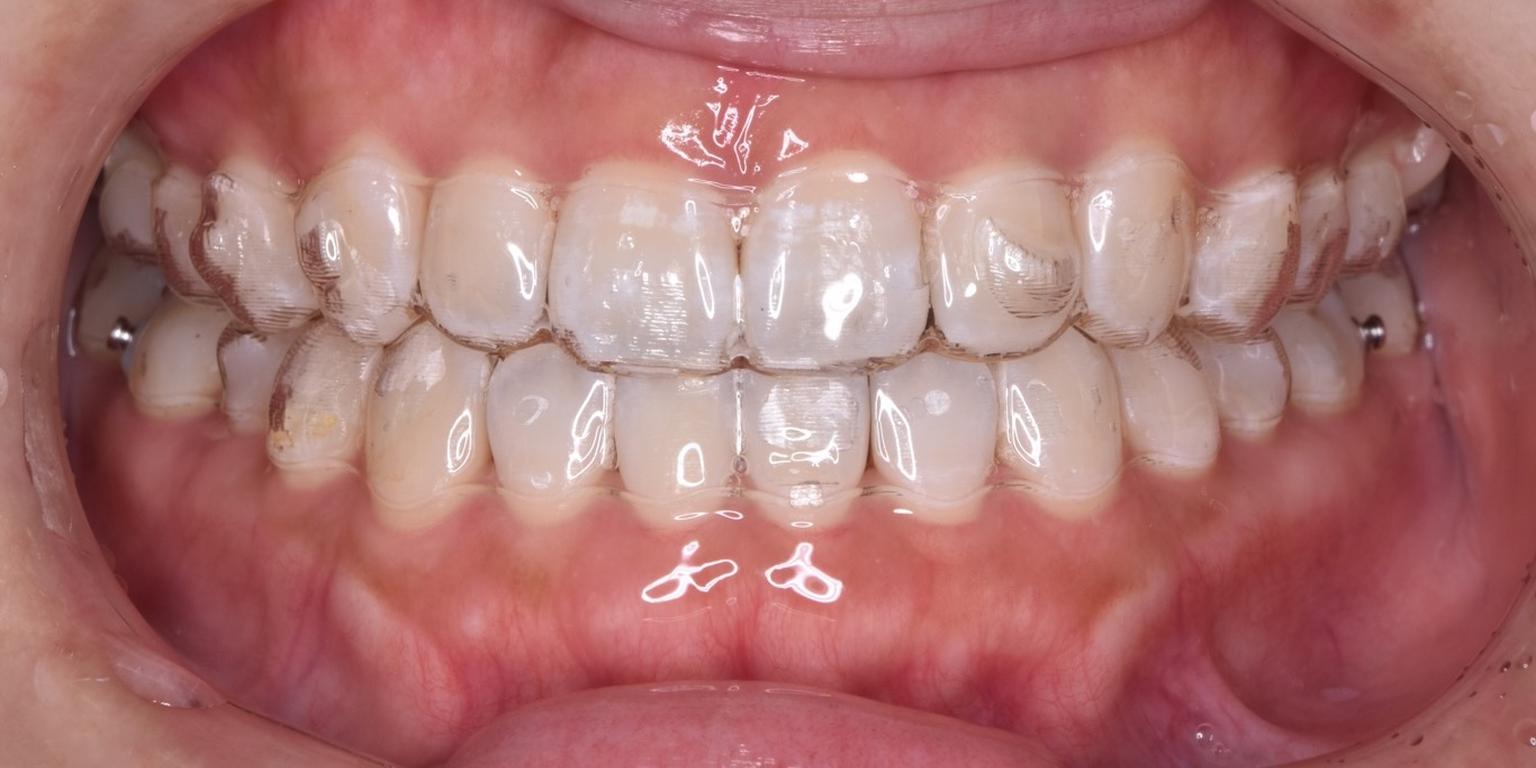
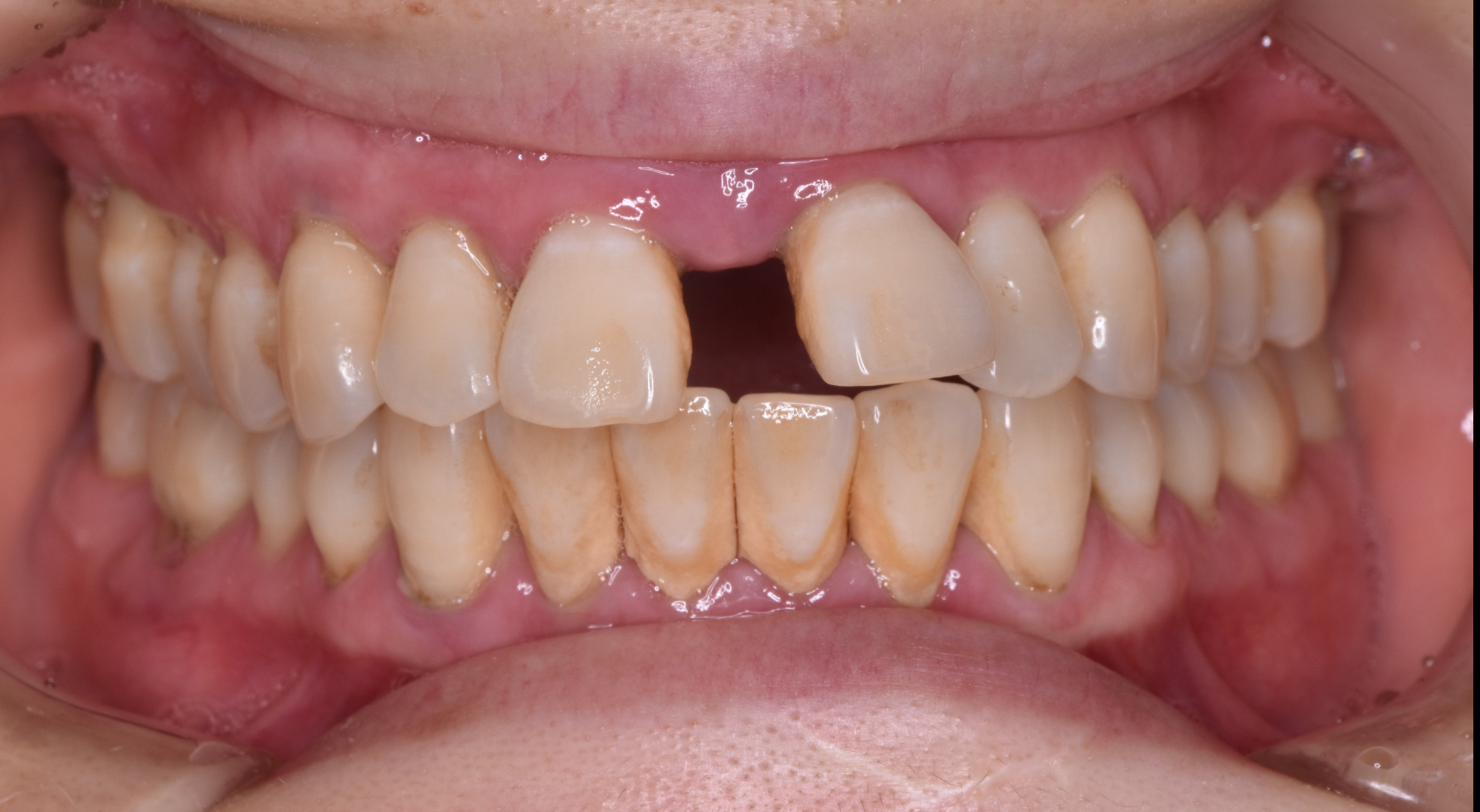
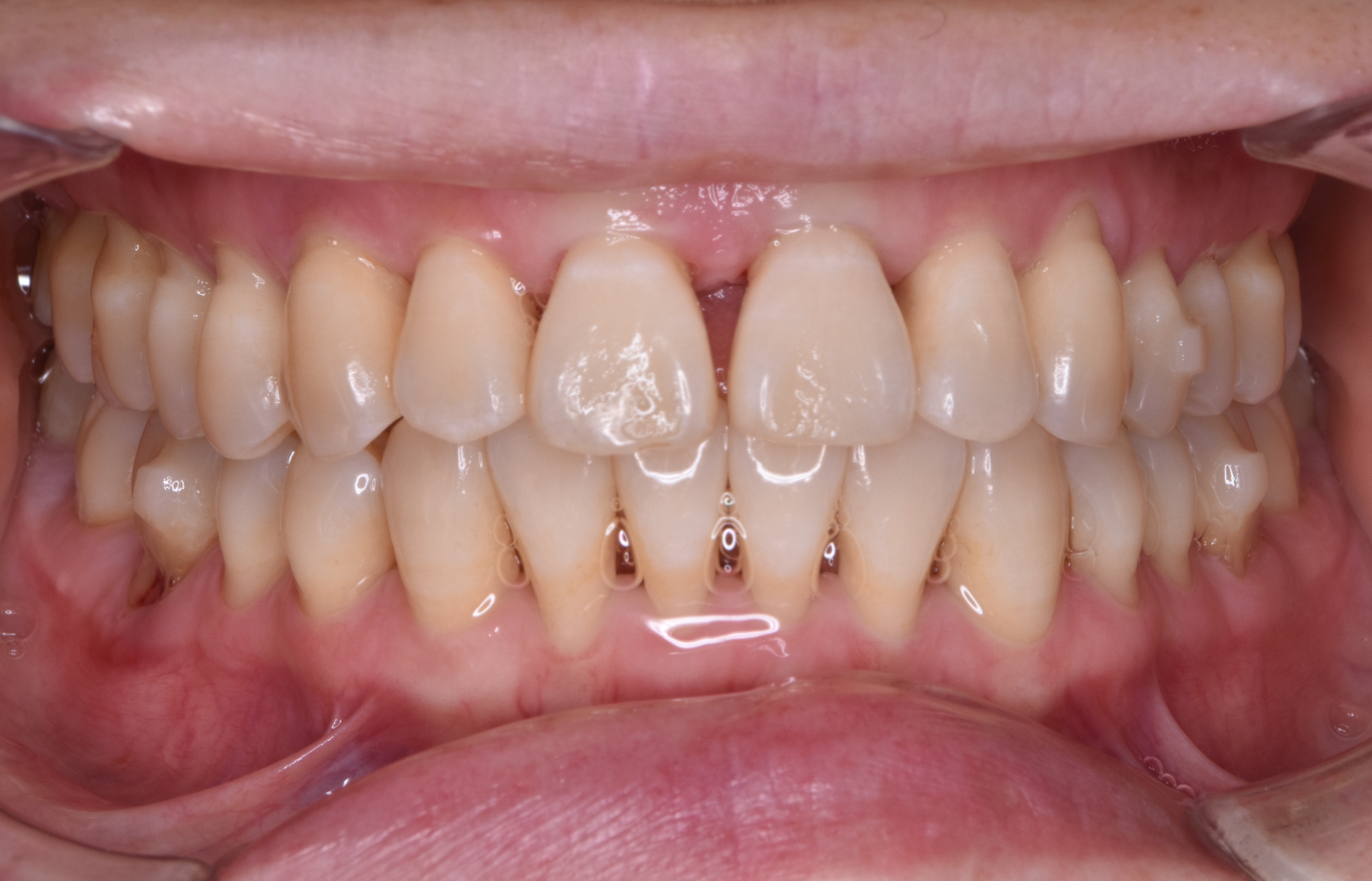
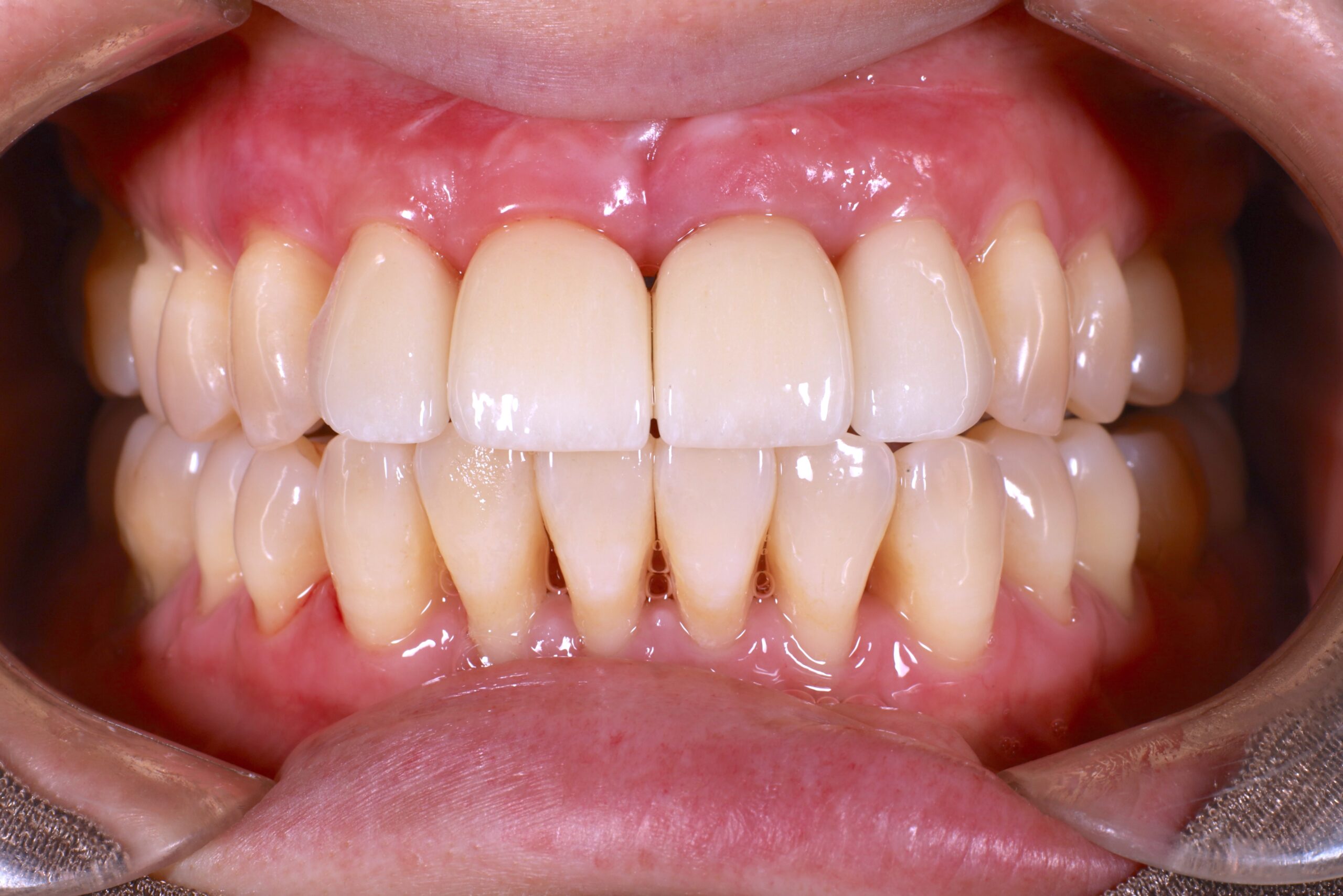
矯正治療後の審美歯科
矯正治療では歯の形は変えられません。
実は皆さんが求める美しさは矯正治療にもう一工夫必要なことが多いです。
当院では歯並びだけでは達成できない審美歯科の提案が可能です。
また、歯周病がひどい場合でも矯正治療を行なうことで、治療をより良いご提案が可能です。
実は皆さんが求める美しさは矯正治療にもう一工夫必要なことが多いです。
当院では歯並びだけでは達成できない審美歯科の提案が可能です。
また、歯周病がひどい場合でも矯正治療を行なうことで、治療をより良いご提案が可能です。
矯正治療の費用について
当院では、患者さまのご希望やお口の状態に合わせて、保険診療・自由診療の両方をご提案しています。
| 内容 | 費用 | 備考 |
|---|---|---|
| 初診相談 | 5,000円 | 簡易的な説明 |
| 精密検査・診断料 | 30,000円 | 治療に進んだ場合は費用として含みません |
| 全体矯正(表側) | 700,000円 | |
| マウスピース型矯正 | 800,000円 | インビザラインまたはシュアスマイル |
| 裏側矯正(舌側矯正) | 800,000円+150,000円/片顎 | |
| 調整料 | 5,000円 | |
| 観察料 | 3,000円 | |
| 保定装置(リテーナー) | 30,000円 |
※上記の金額は目安です。歯並びの状態やご希望により変動します。
※お支払いは現金・クレジットカード・分割払い(デンタルローン)に対応しています。
※医療費控除の対象となる場合がありますので、領収書は大切に保管ください。
ご不明な点はいつでもご相談ください。
矯正治療の流れ
- 初診相談
現在の歯並びやお悩みを丁寧にお伺いし、矯正治療の方向性についてのご提案をします。 - 精密検査
相談後に希望されましたら、検査のための資料を採得します。
レントゲン撮影・お口とお顔の写真・歯型採取などを行い、詳細な診断を行います。 - 診断・治療計画のご説明
検査結果に基づき、最適な治療方針をご説明します。
矯正装置、期間、費用、注意点についてもわかりやすくお伝えします。 - 矯正装置の装着と治療スタート
装置を装着し、定期的に通院していただきながら歯を動かしていきます。
通常は月1回の通院になります。 - 保定(リテーナー)期間
歯が動き終わった後は、後戻りを防ぐために保定装置を装着します。
治療にともなう注意点・リスクについて
当院では、できるだけ安心して治療を受けていただけるよう、十分な説明と丁寧な処置を心がけていますが、以下のようなリスクがまれに考えられます。
- 治療直後、一時的にしみたり、知覚過敏の症状が出ることがあります
- 強い衝撃や噛み合わせのクセによって、詰め物・被せ物が欠けたり取れることがあります
- むし歯の進行が大きい場合は、追加の治療(神経の処置など)が必要になることがあります
ご不安な点は、事前にしっかりご相談いただけますのでご安心ください。

自信は口元から──
Confidence begins with your smile.








