Concept
”むし歯も歯並びも”
成長に合わせた治療と予防で、お子さまの笑顔を守ります。
保護者の方にも正しい仕上げ磨きや食習慣のアドバイスを行います。
保護者の方にも正しい仕上げ磨きや食習慣のアドバイスを行います。


小児矯正(Ⅰ期治療)
お子さんの成長に合わせて、顎のバランスや歯並びを整えることが小児矯正の目的です。
将来、永久歯が正しく並ぶスペースを確保し、大人になってからの矯正を不要にする、または簡単にすることが目標です
将来、永久歯が正しく並ぶスペースを確保し、大人になってからの矯正を不要にする、または簡単にすることが目標です

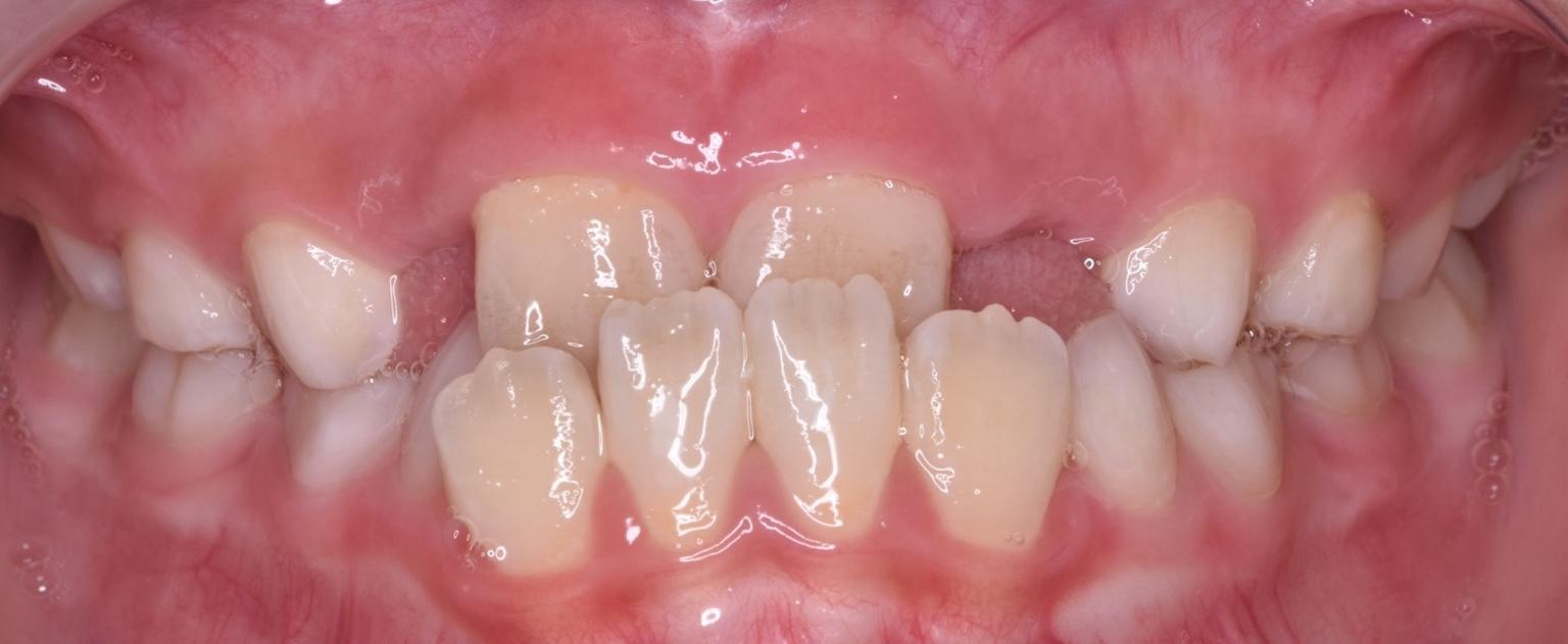
術前:下の前歯が出ている(反対咬合)

術後:正しい前歯の噛み合わせに
疑問に答えます
この歯はきちんと並ぶの?いつから矯正を始めたら良いの?そんな疑問にお答えできます。
お子さんの成長に応じた治療計画を立てます。
不必要なタイミングでの矯正治療はありません。
お子さんの成長に応じた治療計画を立てます。
不必要なタイミングでの矯正治療はありません。

術前:深い噛み合わせ、スペース不足

術後:正しい噛み合わせに
小児矯正治療の費用について
当院では、患者さまのご希望やお口の状態に合わせて、保険診療・自由診療の両方をご提案しています。
| 内容 | 費用 | 備考 |
|---|---|---|
| 分析、診断料 | 30,000円(税別) | 矯正治療開始の場合は実質無料 |
| プレオルソ | 50,000円(税別) | 機能訓練も同時に指導、実施していく。 |
| 1期矯正治療 | 400,000円(税別)ワイヤー、拡大床の場合 | 調整料5000円/月 (税別) |
| 500,000円(税別)マウスピースの場合 |
治療にともなう注意点・リスクについて
当院では、できるだけ安心して治療を受けていただけるよう、十分な説明と丁寧な処置を心がけていますが、以下のようなリスクがまれに考えられます。
- むし歯治療時に暴れる場合は、体を抑える場合があります。
- 矯正治療中に治療に対する協力が得られない場合はやむをえず治療を中断する場合がございます。
- 審査診断を他院で受けられた場合でも当院で再検査を必ずしていただく必要がございます。あらかじめご了承ください。
ご不安な点は、事前にしっかりご相談いただけますのでご安心ください。
