Concept
”自分の歯を残す”
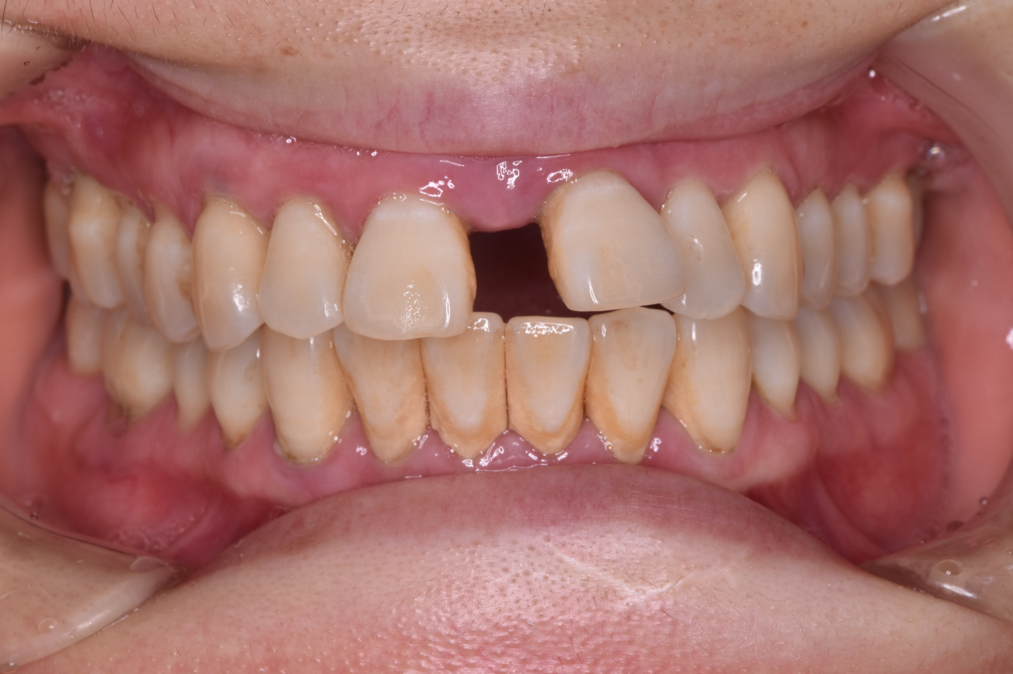
痛みがなくゆっくり進む歯周病は気づかずに手遅れになることも多いです。
当院ではそうなる前にメンテナンスの大切さを皆さんにお伝えしていきます。
セルフケアで難しい歯石の除去を徹底して行うことで歯周病の進行を抑えます。
当院ではそうなる前にメンテナンスの大切さを皆さんにお伝えしていきます。
セルフケアで難しい歯石の除去を徹底して行うことで歯周病の進行を抑えます。


笑えるように
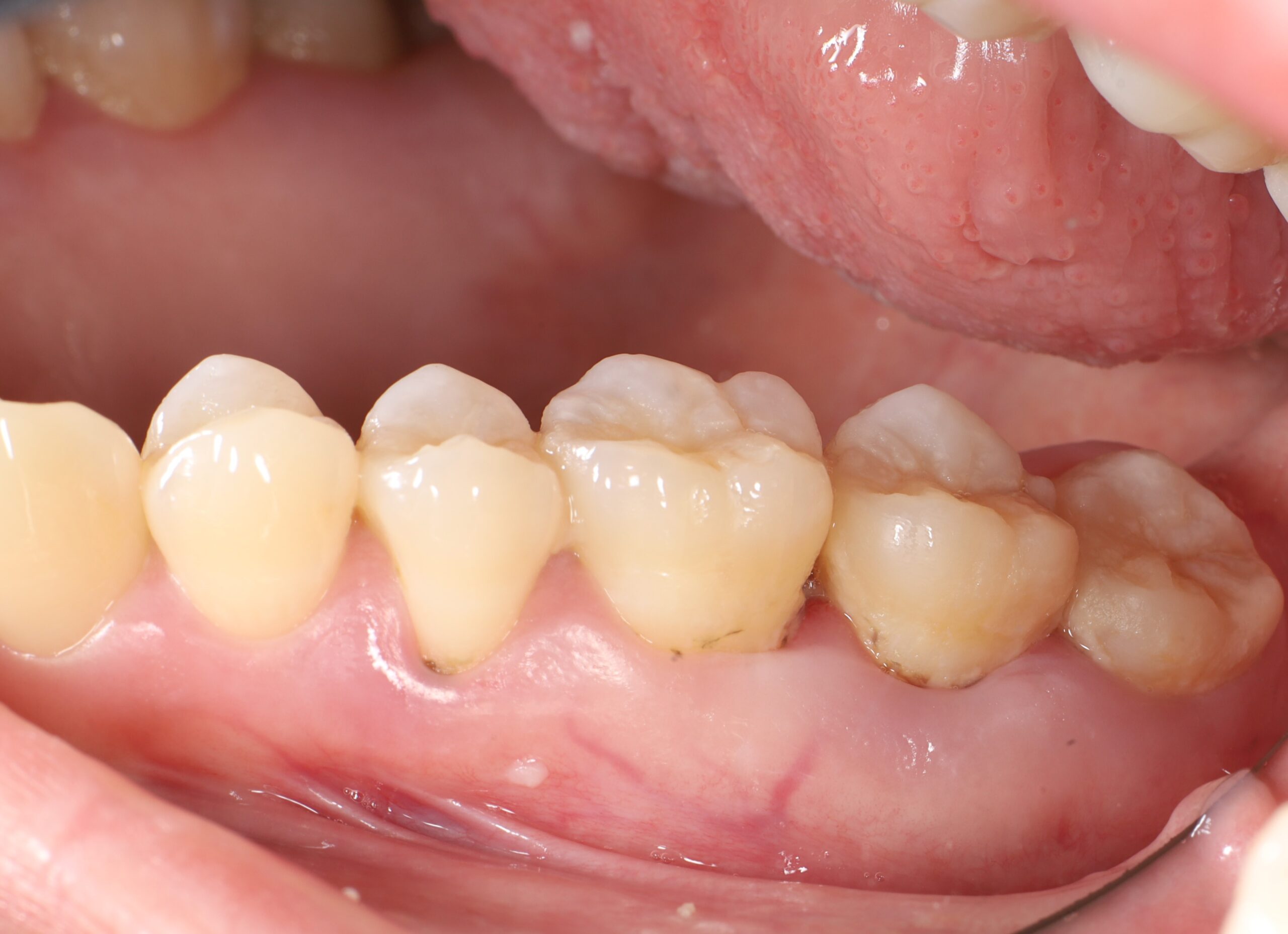
歯を支える骨が溶けてしまった場合でも、再生させることができる場合があります。
また、下がった歯ぐきを治したり、歯並びを整えることもできます。
また、下がった歯ぐきを治したり、歯並びを整えることもできます。


よく噛めるように
好きなものがしっかりと噛めることが理想です。
さまざまな治療プランを提示して、納得してから治療を進めてまいります。
さまざまな治療プランを提示して、納得してから治療を進めてまいります。


歯周治療の費用について
当院では、患者さまのご希望やお口の状態に合わせて、保険診療・自由診療の両方をご提案しています。
| 内容 | 保険診療 | 自由診療(おすすめ) |
|---|---|---|
| 再生療法 | リグロス(保険適用) | エムドゲイン、骨補填剤 100,000円(税別) |
| 根面被覆 | (保険適用) | エムドゲイン 60,000円(税別) |
※ 自由診療は、術後の予後に影響があります。
治療にともなう注意点・リスクについて
当院では、できるだけ安心して治療を受けていただけるよう、十分な説明と丁寧な処置を心がけていますが、以下のようなリスクがまれに考えられます。
- 治療直後、一時的にしみたり、知覚過敏の症状が出ることがあります
- 歯石除去後に歯ぐきの腫れがみられることが稀にあります。
ご不安な点は、事前にしっかりご相談いただけますのでご安心ください。